Medical Case: A 35-year-old woman with fever and upper abdominal pain after visiting Bangladesh

After two years in Bangladesh, a 35-year-old woman returns with fever, upper abdominal pain and weakness. Can you diagnose her condition?

Medical history and clinical examination

The patient, a 35-year-old development aid worker, spent two years working with an NGO in rural areas of Bangladesh, where she was heavily involved in humanitarian aid and water treatment projects. Since her return three months ago, she has been feeling increasingly exhausted and has complained of intermittent fever and non-specific abdominal pain. She initially interpreted these symptoms as traveller's diarrhoea or general adjustment difficulties.

In recent days, however, she has developed increasing pain in her right upper abdomen, accompanied by persistent fever (up to 39.5 °C), night sweats and loss of appetite. She does not report nausea or jaundice. She has no pre-existing conditions, does not take any regular medication and is vaccinated against hepatitis A and B.

Clinical examination

Laboratory values

Parameter Result Reference range
Blood count
Leukocytes 14.2 k / µL 4.0–10.0 k /µL
Haemoglobin 11.5 g/dL 12–16 g/dL
Thrombocytes 320 k /µL 150–400 k /µL
Inflammation markers
CRP 105 mg/L <5 mg/L
Procalcitonin 0.6 µg/L <0.5 µg/L
Liver values
AST (SGOT) 75 U/L <50 U/L
ALT (SGPT) 85 U/L <50 U/L
Total bilirubin 1.1 mg/dL 0.1–1.2 mg/dL

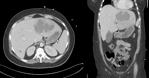
Imaging

CT abdomen with contrast medium:

Tropenmedizinischer Notfall.png

Abdominal CT scan with contrast medium

What would you diagnose?

Diagnosis

Amoebic liver abscess caused by Entamoeba histolytica, presumably acquired during NGO work in Bangladesh.

Differential diagnosis

A bacterial liver abscess is an obvious differential diagnosis, but several findings argue against this diagnosis: The patient had no known biliary infection, no intra-abdominal focus such as appendicitis or diverticulitis, and no recent sepsis. In addition, the travel history with a stay in an endemic area is clearly more suggestive of an amoebic origin.

Hepatocellular carcinoma (HCC) is extremely unlikely in a young woman without cirrhosis or hepatitis infection and without risk factors. The clinical picture with acute fever and pronounced inflammation laboratory findings also clearly argues against HCC.

A hydatid cyst (echinococcosis) is another important differential diagnosis for cystic liver lesions, especially in patients who have travelled abroad. In the present case, however, the lesion is not cystic with a multiseptate structure, but necrotic and solid-inflammatory. In addition, specific serologies and the typical calcified capsule that would indicate an echinococcal cyst are absent.

Overall, the combination of epidemiological history, clinical presentation, imaging and positive serology makes the diagnosis of amoebic liver abscess the most likely.

Treatment and clinical progression

Therapy:

  1. Antiparasitic treatment: Initiation of therapy with metronidazole (750 mg three times daily for 10 days).
  2. Concomitant antibiotics: Ceftriaxone was administered empirically for five days to treat a possible bacterial superinfection.
  3. Interventional therapy: As the abscess had reached a critical size, ultrasound-guided aspiration was performed to relieve pressure.
  4. Nutrition: Ensuring adequate hydration and calorie intake.

Progression:

After just 48 hours on metronidazole, there was a significant clinical improvement with a reduction in fever and pain symptoms. After one week, the patient's general condition was stable and the inflammation values began to normalise. After 10 days, the patient was discharged with oral maintenance therapy with paromomycin to eliminate intraluminal amoebae. Regular follow-up appointments were scheduled with her general practitioner to ensure complete regression of the abscess.